METAMORFOZY NASZYCH PACJENTÓW

Leczenie ortodontyczne nakładkami invisalign
Dr Agnieszka Kryńska-Ziółkowska 
Wybielanie
Diana Karlenko
Bonding
Dr Irina Morozow-Szustek 

Ortodoncja
Dr Agnieszka Kryńska-Ziółkowska 
Wybielanie
Diana Karlenko 
Bonding
Dr Irina Morozow – Szustek

2 lata leczenia aparatem stałym
Leczenie zgryzu otwartego
Dr Agnieszka Kryńska-Ziółkowska

1,5 roku leczenia aparatem stałym ortodontycznym
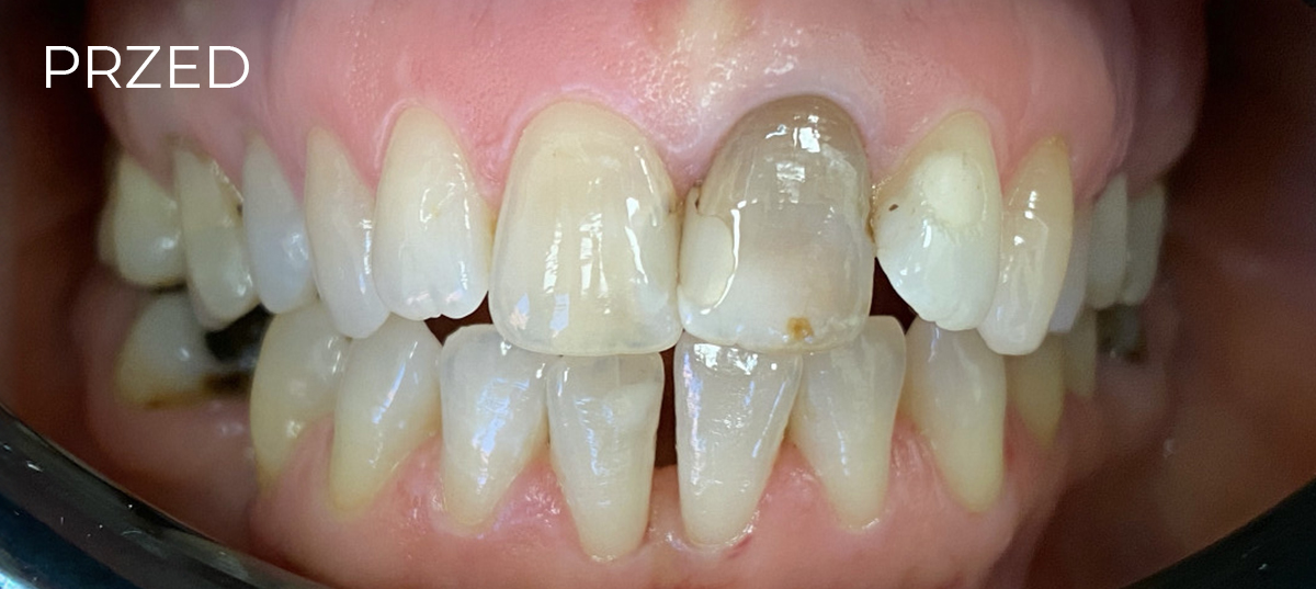
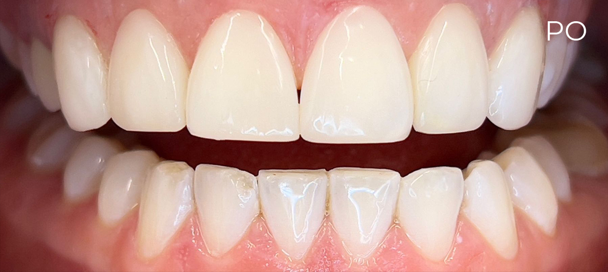
18 koron pełnoceramicznych
Dr Agnieszka Kryńska-Ziółkowska
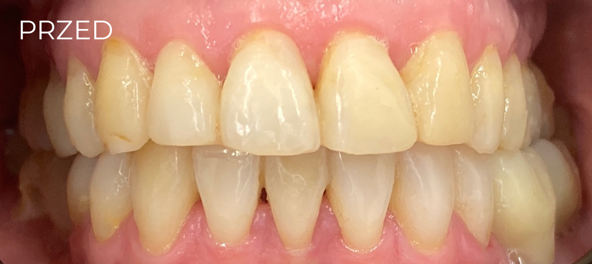
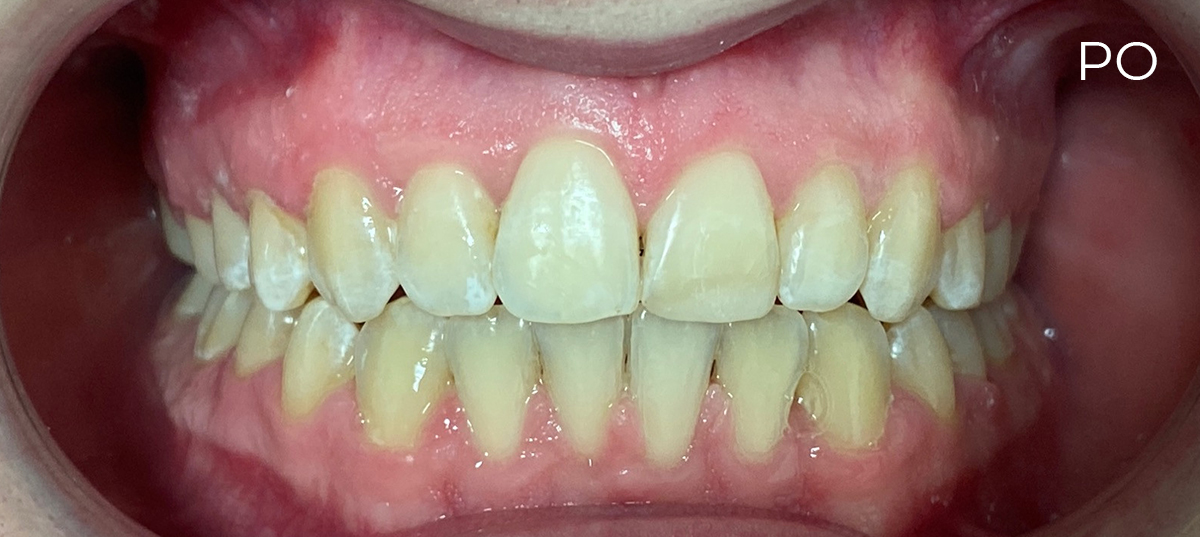
Dr Anna Dohojda

2 lata leczenia aparatem ortodontycznym
Wybielanie lampą Lydenti, Bonding
Dr Agnieszka Kryńska-Ziółkowska
Dr Irina Szustek

Bonding zębów przednich
Wybielanie lampą Lydenti
Dr Irina Szustek
Diana Karlenko

2 lata leczenia ortodontycznego aparatem stałym
Higienizacja, wybielanie, bonding (licówka kompozytowa) 12 zębów
Dr Irina Szustek
Diana Karlenko

Higienizacja, wybielanie nakładkowe, bonding
Dr Irina Szustek
Diana Karlenko

2 lata leczenia ortodontycznego
Dr Agnieszka Kryńska-Ziółkowska

Ortodoncja Dr Agnieszka Kryńska – Ziółkowska
Higienizacja Justyna Wyszogrodzka
Wybielanie Diana Karlenko
Bonding Dr Irina Szustek

Wybielanie + higienizacja
Diana Karlenko
Bonding zębów górnych i dolnych
Irina Szustek

Ortodoncja 1,5 roku
Dr Agnieszka Kryńska-Ziółkowska
Wybielanie nakładkowe
Diana Karlenko
Bonding
Dr Irina Szustek

Ortodoncja 2,5 roku
Dr Agnieszka Kryńska-Ziółkowska
Wybielanie nakładkowe
Diana Karlenko
Bonding
Dr Irina Szustek
Gingivoplastyka
Dr Anna Dohojda

Wybielanie
Diana Karlenko
Gingivoplastyka
Dr Anna Dohojda
Bonding
Dr Irina Szustek

Leczenie nakładkami Invisalign
Dr Agnieszka Kryńska-Ziółkowska
Wybielanie nakładkowe
Diana Karlenko
Bonding oraz odbudowa zwarcia
Dr Irina Szustek 

Leczenie ortodontyczne
Dr Agnieszka Kryńska-Ziółkowska
Wybielanie nakładkowe
Diana Karlenko
Bonding oraz korony pełnoceramiczne
Dr Irina Szustek